Kelp forests in crisis: How toxic turf algae are taking over

EARTH.COM - Kelp forests, once a towering and life-filled part of many temperate coastlines, are vanishing fast. In their place, low-growing mats of turf algae are taking over. This shift isn’t just cosmetic. It’s causing steep losses in biodiversity, disrupting how energy and nutrients flow through reefs, and changing the chemistry of coastal waters in...
By Rodielon Putol | Earth.com |
Taking a Bite Out of Wildlife Crime on UCR News

Taking A Bite Out Of Wildlife Crime

While his profession turned out to be more dangerous than he anticipated when he enrolled at UCR as a biochemistry student in 1965, Goddard hasn’t looked back. His prolific career in law enforcement includes 12 years as a police criminalist and crime scene investigator working on gruesome homicides, drug raids, and robberies, and over four...
By Sarah Nightingale | UCR Magazine |
RNA polymerase enzyme + opened DNA helix, Human (c) Wikimedia Commons

Biochemist helps describe polymerase-ribosome complex

Gregor Blaha, an assistant professor of biochemistry at UC Riverside, is a coauthor on a research paperpublished last week in the journal Science that reports on the cryo-electron microscopy structures of several complexes of RNA polymerase bound to the ribosome. In all living cells, RNA polymerase transcribes DNA into RNA and the ribosome translates the...
By Iqbal Pittalwala | Inside UCR |
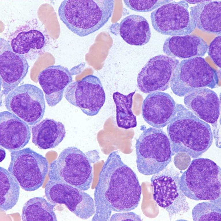
Acute myeloid leukemia

New work advances efforts in finding a cure for acute myeloid leukemia

Jikui Song, an associate professor of biochemistry at UC Riverside, has published new work in Nature Communications that builds on his lab’s recent success in cracking the structure of DNMT3A, an enzyme that plays a key role in DNA methylation. DNA methylation is a process involving the transfer of methyl groups to the DNA molecule...
By IQBAL PITTALWALA | Inside UCR |

Biochemistry student wins Barry M. Goldwater Scholarship

UC Riverside student Jennifer Le is among about 400 college students across the nation to be awarded the Barry M. Goldwater Scholarship, one of the most prestigious and competitive awards in the science, technology, engineering, and mathematic fields, or STEM. From a pool of over 5,000 sophomores and juniors, 1,343 students were nominated by 461...
By Imran Ghori | Inside UCR |
Let us help you with your search